ထိုင်းနိုင်ငံမြောက်ပိုင်းတွင်ဖြစ်ပွားနေသော လေထုညစ်ညမ်းမှု PM 2.5 နှင့် အဆိပ်ငွေ့၊ မီးခိုးငွေ့များကြောင့် ပြင်းထန်သည့် အဆုတ်ရောဂါအခြေအနေများဖြစ်ပေါ်လာကြောင်း ချင်းမိုင်တက္ကသိုလ်မှ ဆရာဝန်တစ်ဦးက သတိပေးကြောင်း ထိုင်းသတင်းဌာန The Thaiger တွင်ဖော်ပြသည်။
ပြီးခဲ့သည့် ဧပြီလ ၁၇ ရက်တွင် ချင်းမိုင်တက္ကသိုလ် ဆေးပညာဌာနမှ အသက်ရှူလမ်းကြောင်းဆိုင်ရာ၊ အရေးပေါ်ကုသမှုနှင့် ဓာတ်မတည့်မှုဆိုင်ရာ အထူးကုနှင့် တွဲဖက်ပါမောက္ခ ဒေါက်တာ Atikun Limsukon က လူမှုကွန်ရက်ပေါ်တွင် PM 2.5 နှင့် ဆက်စပ်သည့် ပြင်းထန်သော အဆုတ်ရောဂါဖြစ်စဉ် နှစ်ခုအားမျှဝေခဲ့သည်။
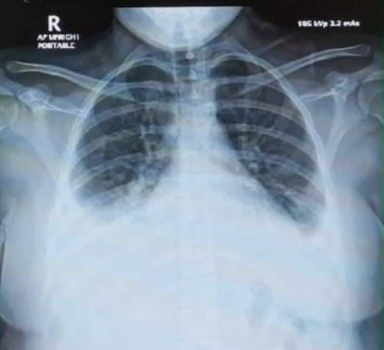
ပထမဖြစ်စဉ်တွင် ထိုင်းနိုင်ငံ မြောက်ပိုင်း ပိုင် (Pai) နှင့် ချင်းမိုင်သို့ လာရောက်လည်ပတ်ခဲ့သည့် အသက် ၁၉ နှစ်အရွယ် နိုင်ငံခြားသားခရီးသွားတစ်ဦးအကြောင်းဖြစ်သည်။
ထိုသူသည် နာတာရှည်ရောဂါမရှိ၊ ဆေးလိပ်သောက်လေ့မရှိဘဲ ပြင်းထန်သောအဆုတ်ရောင်ဝေဒနာ ခံစားခဲ့ရသဖြင့် အောက်ဆီဂျင်ပမာဏ (high-flow oxygen) မြင့်မားစွာပေးခဲ့ရပြီး၊ ပိုးသတ်ဆေးနှင့် စတီးရွိုက် (steroids) များဖြင့် ကုသခဲ့ရသည်။
လက်ရှိတွင် လူနာသည် ပြန်လည်သက်သာလာပြီဖြစ်သော်လည်း ဆက်လက်စစ်ဆေးချက်များအရ သွေးဖြူဥတစ်မျိုးဖြစ်သော eosinophils များ မြင့်တက်နေပြီး ၎င်းသည် ရုတ်တရက် အဆုတ်ရောင်ခြင်း (acute eosinophilic pneumonia) ဖြစ်ပြီး၊ အချိန်တိုအတွင်း အဆိပ်ငွေ့အမြောက်အမြား ရှူရှိုက်မိခြင်းကြောင့် ဖြစ်နိုင်ခြေအလွန်များကြောင်း၊ အထူးသဖြင့် ဆေးလိပ်ပုံမှန်မသောက်သူများတွင် ဖြစ်လေ့ရှိကြောင်း ဆရာဝန်က ရှင်းပြသည်။
အလားတူ လွန်ခဲ့သည့် ၅-၆ နှစ်ခန့်တည်းက တစ်နှစ်လျှင် တစ်ကြိမ် သို့မဟုတ် နှစ်ကြိမ် အဆုတ်ဆေးခြင်းပြုလုပ်ရန် လိုအပ်သည့်လူနာတစ်ဦးမှာ နောက်ဆုံးအကြိမ်အဆုတ်ဆေးပြီး ၂ လမပြည့်မီအချိန်တွင်း အသက်ရှူလမ်းကြောင်း ပျက်စီးကာ အသက်ရှူပိုက်ထည့်ရန် လိုအပ်သည့်အခြေအနေဖြင့် ဆေးရုံသို့ ပြန်လည် ရောက်ရှိလာကြောင်း ဖော်ပြထားသည်။
၎င်းသည် နှစ်ကာလရှည်စွာ PM2.5 နှင့် လေထုညစ်ညမ်းမှုဒဏ် ခံခဲ့ရမှုကြောင့် အဆုတ်အတွင်း ပရိုတင်းဓာတ် ပုံမှန် မဟုတ်သည့် အခြေအနေရှိသည့် လူနာတစ်ဦးဖြစ်သည်။ ကုသမှုပြုလုပ်နေသည့်အချိန်အတွင်း ထွက်လာသော အရည်များမှာ သွေးများပါဝင်လာသည့်အတွက် ယခင်ထက်ပို၍ အဆုတ်ယောင်ရမ်းနေသည်ကို ဖော်ပြနေကြောင်း ဆရာဝန်က ဆိုသည်။
မြူခိုးရာသီမဟုတ်သည့် အချိန်များတွင် အဆိုပါလူနာသည် အသက်ရှူလမ်းကြောင်း မပျက်စီးဘဲ ကုသမှုတစ်ခုနှင့်တစ်ခုအကြား လပေါင်းများစွာ ခံနိုင်လေ့ရှိသည်ဟု သူက ထပ်လောင်းပြောကြားခဲ့သည်။
ယခုဖြစ်စဉ်တွင် အဆုတ်အတွင်း သွေးယိုစီးမှုများပြားခြင်းနှင့် အသက်ရှူပြွန်အတွင်း ချွဲသလိပ်များ များပြားလာခြင်းက အဆုတ်ဒဏ်ရာရရှိမှု ပိုမိုပြင်းထန်ကြောင်း ပြသနေသည်။
လက်ရှိအချိန်အထိ ချင်းမိုင်မြို့နယ်အတွင်း PM2.5 ပမာဏမှာ စိုးရိမ်ရသည့်အခြေအနေတွင် ဆက်ရှိနေပြီး နေရာတော်တော်များများတွင် မီးခိုးငွေ့များဖုံးလွှမ်းကာ မြင်ကွင်းများ ဝေဝါးနေသည့်အခြေအနေရှိနေသေးသည်။
ထိုင်းနိုင်ငံ၏ လေထုအရည်အသွေးမှာ သိသိသာသာ ဆိုးရွားလာပြီး မြောက်ပိုင်း၊ အရှေ့မြောက်ပိုင်းနှင့် အလယ်ပိုင်းရှိ ခရိုင် ၄၂ ခုတွင် PM2.5 ပမာဏမှာ ဘေးကင်းလုံခြုံသည့် အဆင့်ကို ကျော်လွန်နေပြီဖြစ်ကြောင်း မိုးလေဝသခန့်မှန်းချက်များက သတိပေးထားသည်။













Leave a Comments